Electron Microscopy
Ultrastructure of Inclusions
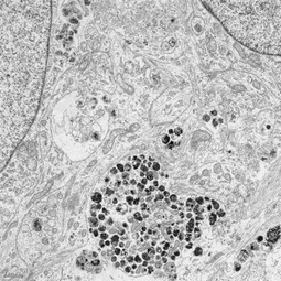
Using electron microscopy, I imaged the ultrastructure of Lewy body–like inclusions that formed in iPSC-derived dopaminergic neurons after sequential exposure to α-synuclein fibrils and proinflammatory cytokines. These inclusions were large (5–10 µm), membrane-bound, and perinuclear, resembling authentic Lewy bodies seen in PD brain tissue.This work provided the first ultrastructural evidence of Lewy body–like pathology developing in human neurons in vitro.

Inclusion Formation
In this figure, I compared neurons treated with α-synuclein fibrils alone versus fibrils plus IFN-γ. Fibrils alone produced only small puncta, while the dual-hit condition drove large inclusions in cell bodies and neurites. Electron microscopy showed these inclusions packed with fibrils and organelles, closely resembling Lewy bodies and Lewy neurites in Parkinson’s disease.















